A pony dumped with hooves so overgrown he looked as though he were walking on ice has been nicknamed Collin after Dancing on Ice contestant Gemma Collins.
The RSPCA was called to the rescue of the coloured Shetland, who had been abandoned in a field in Hail Weston, St Neots, and who was also found to have a nail one and a quarter inches long embedded in one foot.
The pony was found in a paddock the owner of which had been away for some time, and returned to find him in situ. The landowner caught the pony, put him in a stable and called the RSPCA, who arrived on 3 February with a vet.
“The vet confirmed the pony was well enough to travel, and he has since been taken to an RSPCA facility for further assessment and treatment,” a spokesman for the charity said.

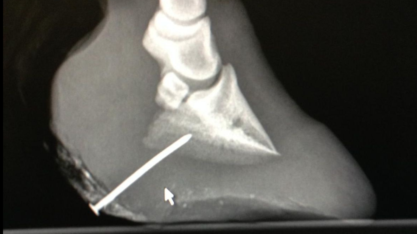
“An X-ray of his hooves revealed he also had a one and a quarter-inch nail sticking into his foot, that had clearly been there for some time. The nail and dressings have now been removed and he has been given anti-tetanus treatment and antibiotics.”
Collin’s feet have been trimmed as an “expert farrier” started to try to correct the damage.
RSPCA Inspector Rebecca Harper said: “We are very grateful to the resident for catching this pony and keeping him safe while arrangements could be made to move him.
“The vet who examined the pony said they believe it would’ve taken years for the pony’s feet to have gotten into their current state. The pony is actually a really sweet-natured boy, despite everything he has gone through, including the immense pain he must have been in.
“The yard where he is being kept have affectionately named him Collin after Gemma Collins from Dancing on Ice, they said he looked like he was walking on ice when they unloaded him from the lorry. He has a fabulous mane, and a cheeky, tenacious personality.
Continues below…
11 celebrities you wouldn’t expect to see in Horse & Hound
From football stars to rock legends, plenty of celebs have hit the H&H headlines over the years. When did horse
Hugh Grant, Mick Jagger and 10 other horses named after unlikely celebrities
Here are our top picks for originality (or the downright weird) — they certainly raised a chuckle…
Subscribe to Horse & Hound magazine today – and enjoy unlimited website access all year round
“I am really keen to find out who may have previously owned Collin, he didn’t have a microchip and we would be keen to speak to anyone who may recognise him or who knows anything about his history.”
Anyone with information is asked to call the RSPCA in confidence, on 0300 1238018.
For all the latest news analysis, competition reports, interviews, features and much more, don’t miss Horse & Hound magazine, on sale every Thursday.