{"piano":{"sandbox":"false","aid":"u28R38WdMo","rid":"R7EKS5F","offerId":"OF3HQTHR122A","offerTemplateId":"OTQ347EHGCHM"}}

Abused horse with broken back on road to recovery


  • A young horse found this summer with a broken back and neck is on the road to recovery.

    The starved colt, now known as Twiglet, was found collapsed on an industrial estate in Avonmouth, Bristol, by a member of the public.

    Being removed from rescue site (4)Equine charity HorseWorld was called to the youngster on the night of 18 August.

    HorseWorld’s rescue manager Jerry Watkins attended and Twiglet, who is thought to be around 18 months old, was taken to the charity’s isolation unit for veterinary treatment.

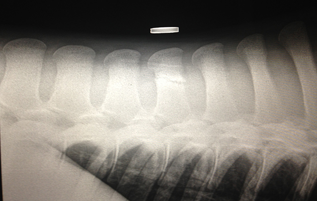
    X-rays showed he had two vertebrae fractures — one in his spine and one in his neck.

    Twiglets X-ray (3)“The injuries are consistent with a blunt trauma,” said vet Carys Chadwick from B&W Equine Group.

    “My guess is that this horse has been severely beaten over the back and neck with something heavy, for example a metal bar.”

    Popular articles

    She added the colt was also “dangerously underweight” and covered in sores.

    Mr Watkins said they named the horse Twiglet as his “long knobbly legs” looked like the twig-shaped snacks.

    “Despite his heartbreaking condition on arrival, Twiglet is expected to make a full recovery — he has his youth on his side,” Mr Watkins added.

    “The fractured vertebrae are likely to fuse as he develops.

    “If they don’t, the vets are confident they can remove the fragment from his back and he should go on to lead a normal life.”

    SONY DSCCurrently, Twiglet is on medication for the pain and is being closely monitored by vets with on-going X-rays to determine his progress.

    He has a very sweet nature but is very quiet, as if he has mentally shut down due to the torture he has endured,” said Mr Watkins.

    “Our team are very experienced with horses like this and given time, love and attention, he will gain confidence.”

    Stay in touch with all the news in the run-up to and throughout the major shows and events during 2026 and beyond with a Horse & Hound subscription. Subscribe today for all you need to know ahead of these major events, plus online reports on the action as it happens from our expert team of reporters and in-depth analysis in our special commemorative magazines. Have a subscription already? Set up your unlimited website access now

    You may like...