A filly is back on her four feet in the field again after successful surgery to remove a rare extra ‘digit.’
The owner of the seven-week cob foal noticed the extra limb the day after she was born in the field.
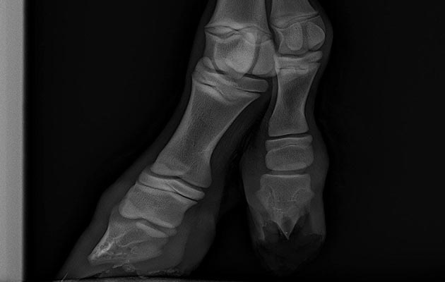
He sent some pictures to vet Simon Woods, who owns Lower House Equine Clinic near Oswestry in Shropshire.
“It is an extremely rare condition so I said ideally surgery is required to remove the extra ‘digit’,” said Mr Woods, who had never seen a polydactyl horse in his veterinary career before.
The filly went into the vet’s clinic on 4 June for surgery to remove the extra digit.

X-rays were taken first to see where it was coming from.
The digit can come from lower down the leg, which requires less invasive surgery, but in this case x-rays showed it came from the carpus (knee).
“Although slightly smaller than a normal leg it was just like any other with fully formed cannon bone, tendons, suspensory ligament, associated joints, blood vessels and nerves,” said Mr Woods.
The owner, Sam Sheady, wanted to operate and during a three-hour operation that day the extra digit was removed.

Surgery was “quite complicated” admits Mr Woods.
“We wanted to remove the digit but not cause any damage to the remaining leg,” he said.
Assisting in the operation was experienced vet Ken Anderson, H&H’s vet of the year in 2016.
Continued below…
Foal grows ‘fifth leg’
A foal was admitted to a veterinary hospital with a rare condition which led to an extra digit growing from
Abandoned stallion found with five hooves
The 13hh piebald stallion was rescued from an isolated area
Five-legged foal recovering after surgery to remove extra digit
The limb was complete with all the normal structures of a horse’s leg
Everything went well and after two days in the clinic having her bandages changed, the filly returned home.
After two weeks’ box rest, with more bandage changes, she was turned out in the field and is now leading a normal life just like any other foal.
“When I last saw her everything was healed and she was trotting around with her mother quite happily,” said Mr Woods.
For all the latest news analysis, competition reports, interviews, features and much more, don’t miss Horse & Hound magazine, on sale every Thursday.